ENDODONTISTE EN SEINE ET MARNE (77)
Cabinet des dr Eve LAURENTet Acher COHEN
Le cabinet du Dr Eve Laurent, situé à Bussy-Saint-Georges en Seine-et-Marne (77), est exclusivement dédié à l’endodontie. En collaboration avec les chirurgiens-dentistes de la région, nous prenons en charge les infections dentaires, les douleurs aiguës (rage de dent), les retraitements de racine et les microchirurgies apicales.
-
L'équipe
Une équipe à votre service
Les Docteurs Eve Laurent et Acher Cohen, accompagnés de leurs assistantes qualifiées, vous accueillent dans un cabinet spécialisé en endodontie à Bussy-Saint-Georges. À chaque étape de votre parcours, l’équipe agit avec exigence, bienveillance et coordination, pour vous offrir des soins précis et un accompagnement fluide, en lien avec votre dentiste traitant.
-
L'offre de soins
Spécialiste des pathologies endodontiques
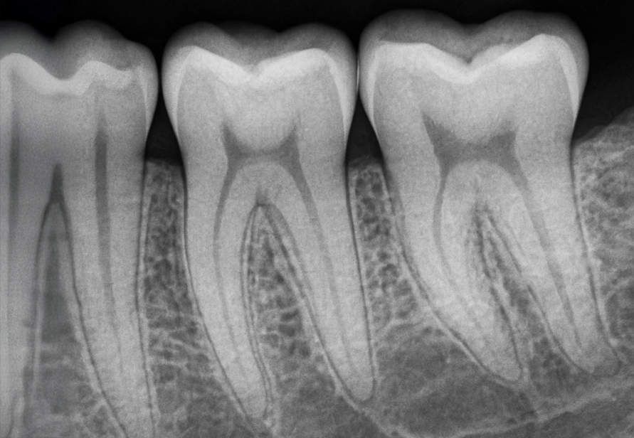
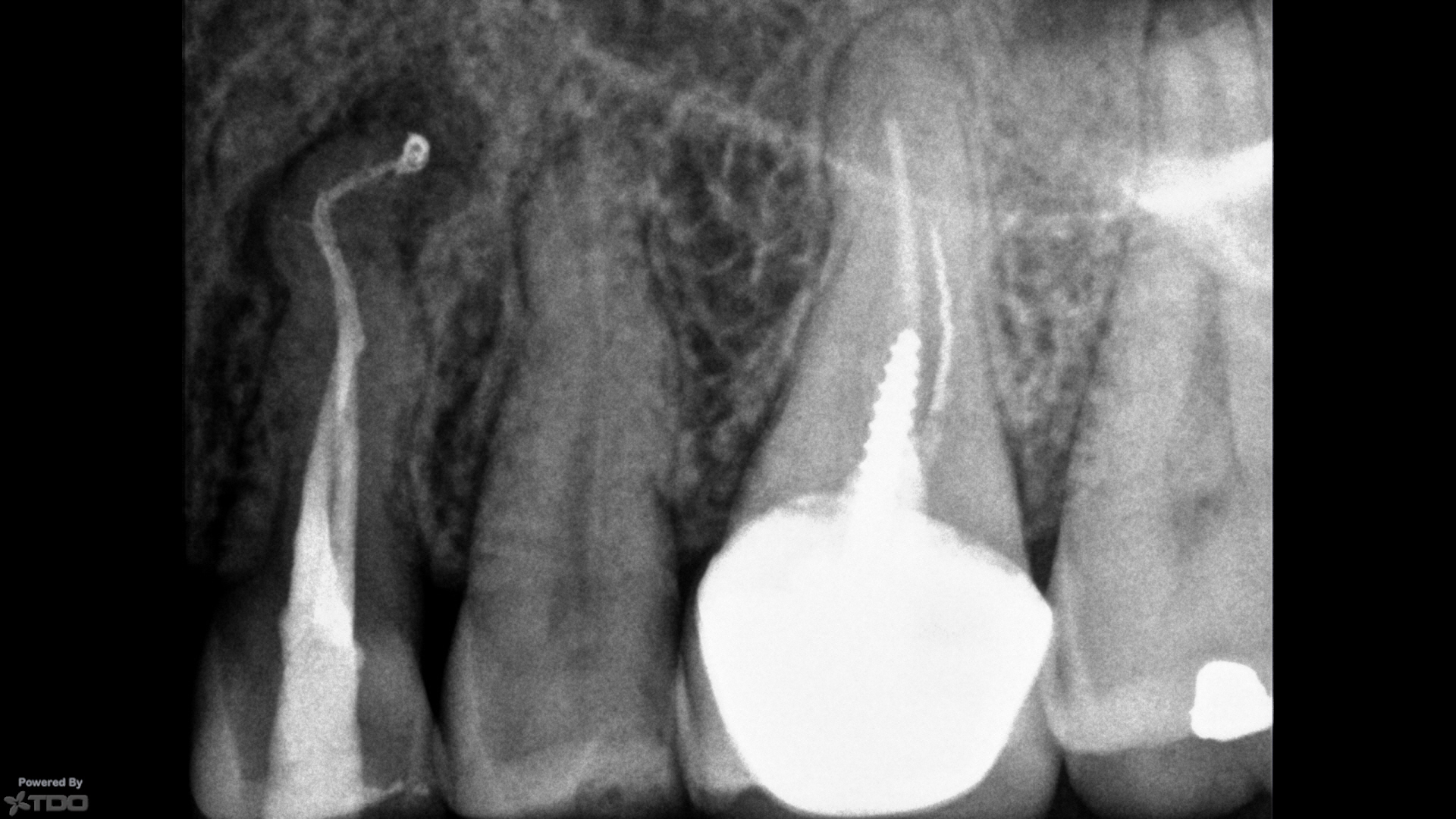
Le cabinet est spécialisé dans la prise en charge des pathologies de la racine dentaire. Nous réalisons exclusivement des soins endodontiques sur prescription : consultation diagnostique, traitement ou retraitement des canaux, chirurgie endodontique et suivi post-opératoire. Chaque soin est réalisé sous anesthésie locale, avec microscope opératoire, dans un environnement technique de haut niveau. Nous assurons également un lien étroit avec votre dentiste traitant pour garantir une continuité de soin optimale.
Ils nous font confiance
Découvrez les avis et retours de nos patients sur leur expérience au sein du cabinet des Drs Eve Laurent et Acher Cohen. Chaque témoignage reflète notre engagement quotidien pour offrir des soins endodontiques de qualité, dans un environnement accueillant et serein.
Découvrez notre cabinet en vidéo
Suivez notre actualité
Découvrez nos conseils en endodontie, nos actualités professionnelles et la vie du cabinet au quotidien.
Nouveau patient ?
Accéder à notre formulaire pour déposer votre demande de prise-en-charge.
Nouveau praticien référent ?
Accédez à notre formulaire en ligne et déposer votre demande de partenariat.
-
L'endodontie
Qu’est-ce que l’endodontie ?
L’endodontie est la spécialité qui traite l’intérieur de la dent, notamment le nerf. En cas d’infection ou de douleur, elle permet de nettoyer, désinfecter et préserver la dent grâce à un traitement ciblé des racines. Ces soins précis sont réalisés sous anesthésie locale et microscope opératoire, dans un environnement strictement aseptisé.
Urgences endodontiques dans le 77
En cas de douleur intense ou d’infection dentaire, contactez votre dentiste traitant pour qu’il vous oriente vers notre cabinet. Toute prise en charge se fait uniquement sur prescription de votre praticien. Transmettez votre dossier complet (fiche de référencement et radios) pour que nous puissions organiser rapidement une consultation ou un rendez-vous de soin adapté.

